
La ECC è una manifestazione precoce della malattia cariosa che si sviluppa nei bambini di età inferiore ai 6 anni, a volte anche prima del compimento dei 2 anni di vita. Si tratta di una patologia ampiamente diffusa su scala mondiale; un’alta incidenza è ben documentata in Europa e in Italia.
E’ dimostrato che i bambini che sviluppano ECC seguono una dieta caratterizzata da un’elevata assunzione di zuccheri liberi, specialmente sotto forma di bevande (succhi di frutta, te’ in bottiglia…). Anche il ruolo causale delle caramelle e del ciuccio imbevuto nel miele o nello zucchero non è affatto trascurabile.
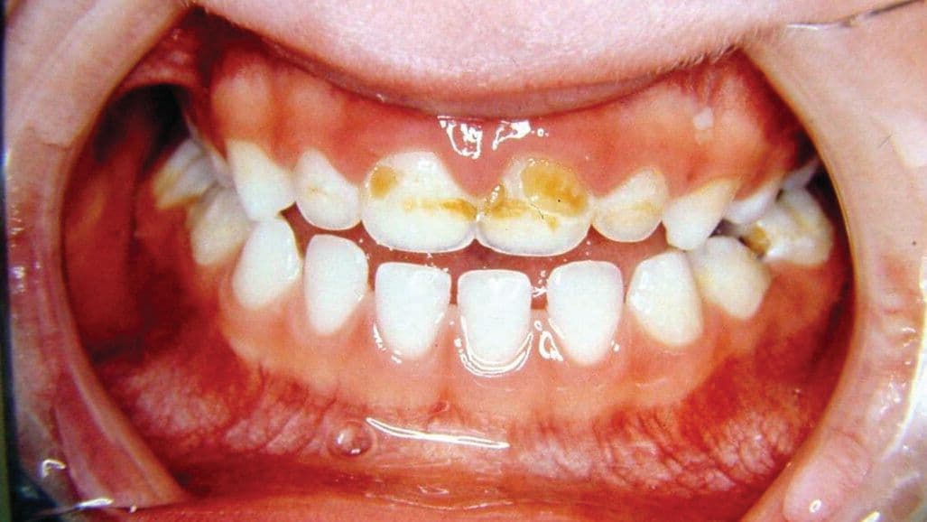
Come si manifesta?
Inizialmente con delle demineralizzazioni (linee o macchie bianche) vicino al colletto gengivale degli incisivi superiori: queste se non trattate si trasformano velocemente in piccole cavità che successivamente formano lesioni sempre più estese prevalentemente a livello degli incisivi superiori.
Cosa comporta?
I bambini affetti da ECC sono più esposti all’insorgenza di dolore ed emergenze odontoiatriche, rischio di malocclusione e sviluppo di nuove carie, infezioni ricorrenti, sviluppo di paura e fobia odontoiatrica, possibili alterazioni dello sviluppo e della crescita, difficoltà nell’apprendimento e ridotta performance scolastica.
Come prevenire?
Le Linee Guida della Accademia Americana di Odontoiatria Pediatrica consigliano di:
- Evitare che i bambini si addormentino con il biberon
- Incoraggiare il bambino a bere da una tazza a partire dal primo anno di vita
- Eliminare il biberon entro i 12-24 mesi
- Non somministrare succhi di frutta, te’o tisane zuccherate con il biberon
- Intensificare le manovre di igiene orale dopo l’eruzione del primo molare da latte
- Eseguire una visita dal dentista pediatrico entro l’anno di età